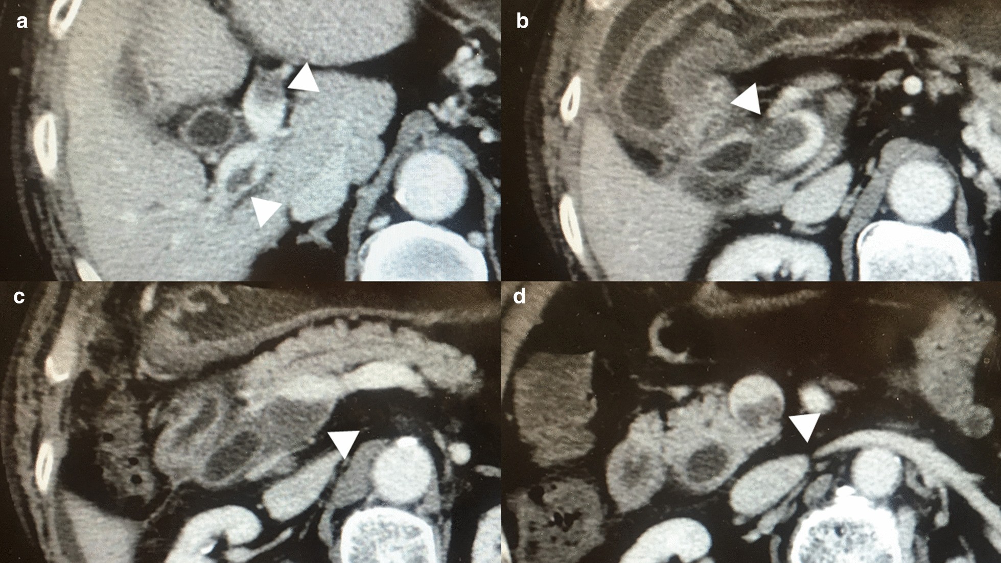
Fig. 3

Findings of the portal vein thrombosis on postoperative day 8. Exacerbation of the portal vein thrombosis (PVT) (White arrowheads) was noticed with the findings of contrast-enhanced computed tomography taken on postoperative day 7. The PVT extended cephalically beyond the bifurcation of the right and left portal veins (a). The stenosis caused by the PVT was deteriorated either in the portal trunk (b) or in the confluence of the superior mesenteric vein and the splenic vein (c). Furthermore, the PVT extended much more caudally compared to the preoperative period (d). (CHD common hepatic duct; and CBD common bile duct)